◆トップページへ戻る
浮遊菌除去装置 Ohken AC−2001 実験結果
 
試験概要

検体を密閉容器(依頼者提供品 : 約1M

内に設置した。

この密閉容器内に表皮ブドウ球菌の菌液10ml

を噴霧し、扇風機(依頼者提供品)でかくはん

しながら、検体を作動させた。

作動1時間後に密閉容器内の空中浮遊菌数

を測定した。

 
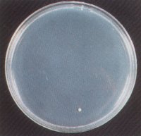
非使用 1時間後(写真-1)


使用 1時間後(写真−2)
試験結果

結果を表−1に示した。なお、培養終了後の測定用平板を

写真−1 及び 写真−2 に示した。

 

試料

空気100l当たりの空中浮遊菌数

検体

1※

対照

>1000

対照 : 紫外線ランプ点灯せず

※ 試験菌以外の菌であった。

 
試験株菌

Staphylococcus epidermidis ATCC 12285 (表皮ブドウ球菌)

 
   

財団法人日本食品分析センターの試験結果より。詳細はこちらから。